Tackling Cavities Without Drills: The Power of Silver Diamine Fluoride
For many kids, the sound of a dental drill is one of the biggest stressors when visiting the dentist.

For many kids, the sound of a dental drill is one of the biggest stressors when visiting the dentist.

While many children stop thumb sucking on their own, others may require additional support to help them break the habit.

As every parent knows, keeping little smiles healthy and cavity-free can be a challenge, especially when it comes to those hard-to-reach back molars.

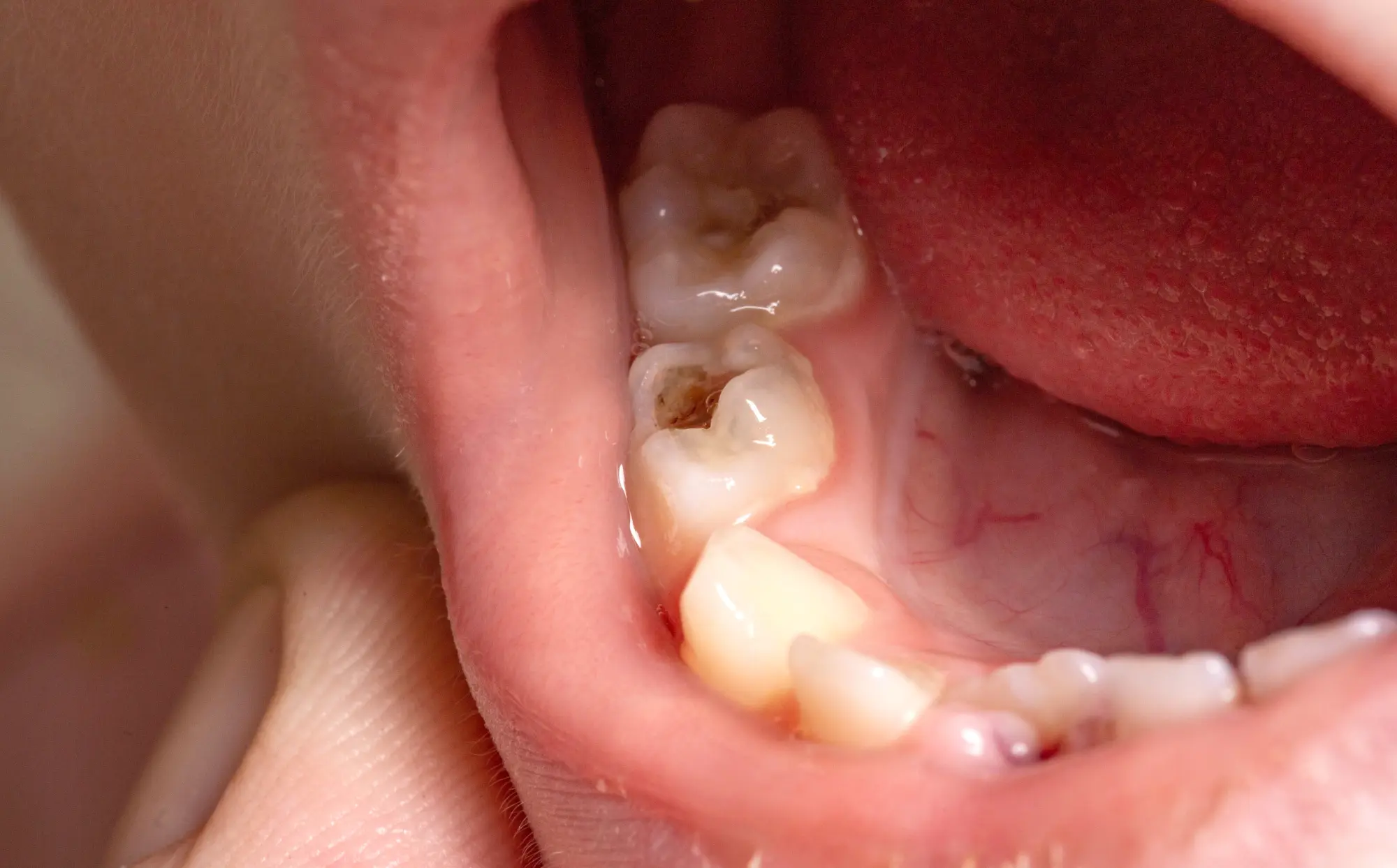
Even if you do your best to keep your child’s mouth healthy, they may end up with a cavity that needs to be treated with a filling.

One crucial aspect of their health is dental care, especially when it comes to preventing cavities.

When it comes to caring for children's teeth, we're always looking for treatments that work well without causing unnecessary stress or discomfort.

A frenectomy is a simple surgical procedure that involves the removal or modification of a frenum, a small fold of tissue that connects parts of the mouth.

Whether you're waiting for your child's dental appointment or looking to make the most of your visit, Columbia has something for everyone.

As a parent, one of your top priorities is ensuring the health and well-being of your child.

When it comes to your child's dental health, choosing the right pediatric dentist is crucial.

Let's dive into the world of pediatric oral care and discover how you can make it fun and effective.

When exactly do children need these crowns, and what benefits do they offer? Let's delve into these questions.

In this blog post, we'll explore common pediatric dental emergencies and provide practical guidance on how to handle them.

In this blog, we'll discuss everything you need to know about space maintainers and why they are essential in your child's dental health journey.

It's a question many parents ask: when should I take my child to the dentist for the first time? The answer might surprise you.

Learn about pediatric dental fillings and what parents need to know at Tiny Tooth Pediatric Dentistry. Ensure your child’s smile stays healthy and bright.

Keep your kids' teeth healthy this summer with tips from Tiny Tooth Pediatric Dentistry. Discover essential dental care strategies for a fun and cavity-free vacation.

Learn strategies for creating a positive dental experience for your child with Tiny Tooth Pediatric Dentistry. Ensure a stress-free and fun visit every time.

Discover why baby teeth may need fillings and their importance for your child's dental health at Tiny Tooth Pediatric Dentistry. Learn more today!

Discover the duration of teething. Learn about common symptoms, remedies, and when to consult a dentist for your child's comfort during this developmental stage.

Discover the timeline for baby teeth with insights from Columbia & Eldersburg pediatric dentists. Learn when to expect those adorable first smiles!

In this blog, we'll walk you through some essential steps to help you find the best pediatric dentist for your little one.

Is a chipped tooth a dental emergency? Find out more here.

In this blog post, we will discuss how to prepare your child for a tooth extraction, ensuring a smooth and stress-free experience.

What If your child breaks a tooth or gets a mouth injury? Do you know what to do in case of a dental emergency? If your answer is no, then this article is for you.

Are dental fillings painful for children? Find out in this blog post from Tiny Tooth Pediatric Dentistry.

The team at Tiny Tooth Pediatric Dentistry put together an article about the most common dental emergencies in kids. Read on to learn more!

Has your pediatric dentist told you your child will need a dental crown? Then check out this short blog post to know exactly what to expect.

It’s natural to want to protect your child from the drilling and general anxiety that a dentist’s office often evokes. But dental fillings are absolutely necessary for children. Here’s why:

In this blog post, we will share everything you need to know about the healing process after a frenectomy so that you can provide the best care for your child.
.jpeg)
Here are some reasons why your child's teeth are now yellow and what you can do about them.
.jpeg)
The sooner you correct a tongue tie, the better for your child. This way, you can prevent numerous problems that may affect their development.

If you notice any of the following signs of tongue ties, it may be best to contact a pediatric dentist and see what they recommend.

Bad breath, also known as halitosis, can happen to children for many reasons and it's not just about making sure they have a clean mouth.

To reduce your child’s risk for costly dental treatment, you should be on the lookout for early warning signs of these dental issues.
Does your child suck their thumb? Here's how the habit can cause future, long-term dental issues.

There are a lot of misconceptions about dental sedation. Here are some common myths about sedation dentistry.

Baby bottle tooth decay is one of the most serious oral problems that can affect older infants and younger toddlers. Here's how you can avoid it.

There are a few signs to recognize tooth decay in your child's mouth early. Our Columbia office explains what to look for and how to prevent cavities.

At Tiny Tooth Pediatric Dentistry, we’re here to ensure your child receives the quality care they deserve to start them on a lifetime of positive oral health.
© Tiny Tooth Pediatric Dentistry 2019
Website by Wonderist Agency | Privacy Policy